Создать аккаунт

Жиры против вирусов: кетодиета помогает справляться с гриппом

Фото из открытых источников Ученые из Helsingin yliopisto (Финляндия) сделали неожиданное открытие: кетогенная диета, богатая жирами и почти лишенная углеводов, может усиливать защиту организма от вируса гриппа. Результаты исследования опубликованы в Scandinavian Journal of Public Health. Кетодиета, уже...

Жиры против вирусов: кетодиета помогает справляться с гриппом

Стресс на старте: как эмоции «запускают» опасные болезни

Фото из открытых источников Современная наука подтверждает: стресс — это не просто временное недомогание, а серьезный фактор, способный «запустить» тяжелые заболевания. Об этом заявили в интервью «Известиям» доцент кафедры остеопатии СЗГМУ им. И.И. Мечникова, врач-остеопат и невролог Владимир Белаш. Эксперты...

Стресс на старте: как эмоции «запускают» опасные болезни

Доктор Мясников предупреждает: скрытый парацетамол может угрожать вашему здоровью

В последние дни доктор Александр Мясников, российский врач и телеведущий, вновь поднял вопрос о безопасности парацетамола, который часто считается безобидным обезболивающим средством. Мясников акцентирует внимание на том, что хотя парацетамол широко используется и доступен, он может скрывать определённые угрозы для здоровья...

Доктор Мясников предупреждает: скрытый парацетамол может угрожать вашему здоровью

Частичное уединение помогает лучше восстанавливать силы, чем полная изоляция

Фото из открытых источников Пребывание в одиночестве далеко от общества, например, прогулки по лесу или уединение в хижине, не способствует восстановлению энергии и укреплению социальных связей так же эффективно, как менее изолированные формы уединения. К такому выводу пришли ученые Университета штата Орегон...

Частичное уединение помогает лучше восстанавливать силы, чем полная изоляция

Употребление фастфуда связано с депрессией

Фото из открытых источников Анализ данных Национального обследования здоровья и питания (NHANES) показал, что каждый дополнительный прием пищи быстрого приготовления в неделю был связан с повышением вероятности депрессии на 4%. Эта связь в значительной степени не зависела от ожирения, хотя ожирение в некоторой...

Употребление фастфуда связано с депрессией

Pronews.gr: фастфуд ускоряет старение организма и вызывает рак

Фото из открытых источников Исследователи из Университета Монаша (Австралия) провели работу, результаты которой опубликованы изданием Pronews.gr. Они обнаружили, что регулярное употребление продуктов с высокой степенью обработки, таких как чипсы, шоколад с добавленным сахаром, газированные напитки, печенье и...

Pronews.gr: фастфуд ускоряет старение организма и вызывает рак

Ревматоидный артрит связан с повышенным риском сердечной недостаточности

Фото из открытых источников Ревматоидный артрит (РА) связан с более высокой частотой подтипов сердечной недостаточности, согласно исследованию, опубликованному в журнале Arthritis Care & Research. Юмеко Кавано, доктор медицины из больницы Brigham and Women's Hospital в Бостоне, и коллеги оценили риск подтипов...

Ревматоидный артрит связан с повышенным риском сердечной недостаточности

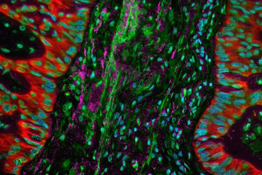
Микроскопические изменения клеток связаны с быстрым ростом рака в жестких тканях

Фото из открытых источников По данным Всемирной организации здравоохранения, только в 2022 году рак был диагностирован у более чем 20 миллионов человек, и почти 10 миллионов умерли от этой болезни. Хотя масштабы рака огромны, ответ на более эффективные методы лечения может скрываться в микроскопической клетке. Статья,...

Микроскопические изменения клеток связаны с быстрым ростом рака в жестких тканях

Как хронический стресс разрушает эндокринную систему: мнение эксперта

Фото из открытых источников Эндокринная система выполняет важную функцию в поддержании здоровья человека, отвечая за регуляцию метаболизма, роста, иммунитета и репродуктивной системы. Как пишет издание «Вечерняя Москва», гинеколог-эндокринолог Ольга Есипова поделилась, как хронический стресс влияет на гормональный...

Как хронический стресс разрушает эндокринную систему: мнение эксперта

Эксперты назвали простые привычки для ясного ума в пожилом возрасте

Фото из открытых источников С возрастом ментальное здоровье становится не менее важным, чем физическое. Как отмечает "Вечерняя Москва", эксперты предлагают несколько простых привычек, которые могут помочь избежать когнитивных нарушений и сохранить ясность мышления в пожилом возрасте. Одним из ключевых факторов считается социальная активность. Геронтологи подчеркивают, что участие в коллективных мероприятиях, таких как клубы по интересам или хоровое пение, благотворно влияет на мозг.

Эксперты назвали простые привычки для ясного ума в пожилом возрасте
Продолжая просматривать сайт glavdealer.ru вы принимаете политику конфидициальности.
ОК