Создать аккаунт

Эндокринолог Павлова: Каждый хот-дог сокращает жизнь на 36 минут

Фото из открытых источников Мы постоянно слышим о необходимости ответственного подхода к своему питанию. Вот только популярность фастфуда в мире каждый год только растет. Поэтому американские исследователи решили узнать, как влияют такие продукты на продолжительность жизни человека. Эндокринолог Зухра Павлова...

Эндокринолог Павлова: Каждый хот-дог сокращает жизнь на 36 минут

Специалисты рекомендуют употреблять не более 12 чайных ложек сахара в день

Фото из открытых источников Для того чтобы обезопасить себя от различных неприятных заболеваний, нужно учитывать множество факторов. В частности, это касается и питания. Специалисты сферы здравоохранения дали ряд советов о том, как сбалансировать свой рацион. Как сообщает "Волгоградская правда.ру", главным...

Специалисты рекомендуют употреблять не более 12 чайных ложек сахара в день

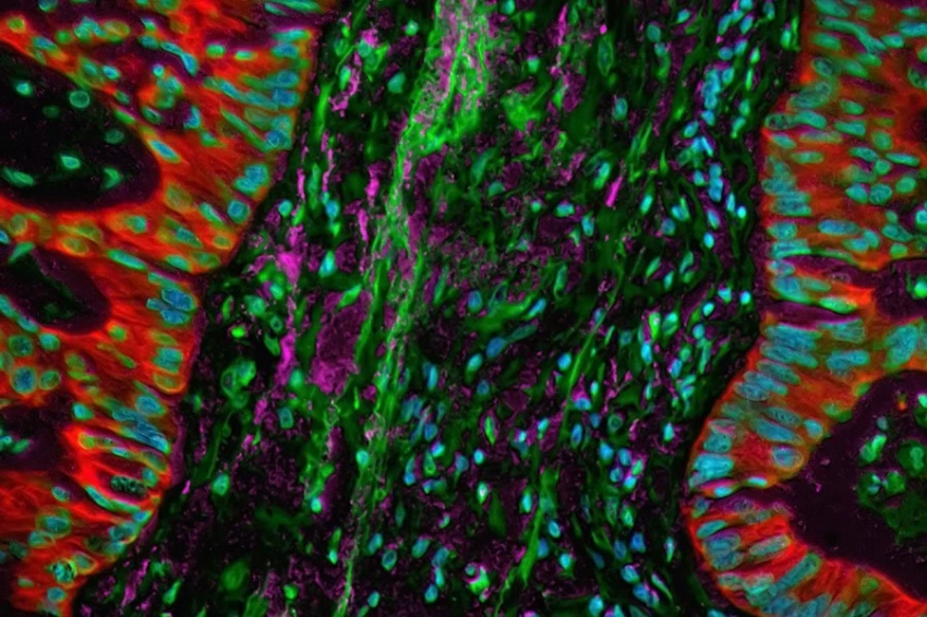
Ученые получили новые знания о формировании кровеносных сосудов

Фото из открытых источников Формирование кровеносных сосудов — сложный процесс, включающий взаимодействие белков и механических сил. В двух работах исследовательская группа из Биоцентра Базельского университета, Швейцария, раскрыла новые механизмы формирования кровеносных сосудов. Группа продемонстрировала, как клетки взаимодействуют во время формирования сосудистого просвета, и критическую роль динамических сил в этом процессе. Эти новые знания о формировании кровеносных сосудов могут

Ученые получили новые знания о формировании кровеносных сосудов

Кофе продлевает жизнь почти на два года: правда или миф? Что говорят ученые

Фото из открытых источников Ученые из португальского Центра нейробиологии пришли к удивительному выводу: ежедневное употребление четырех чашек кофе может продлить жизнь почти на два года. Издание "Вечерняя Москва" уточнило у экспертов: кофе полезен или вреден? Исследование португальцев базируется на анализе...

Кофе продлевает жизнь почти на два года: правда или миф? Что говорят ученые

Лекарство под ногами: 7 тысяч шагов в день снижают риск депрессии на треть

Фото из открытых источников Учёные из Universidad de Castilla - La Mancha (Испания) выяснили, что ежедневная физическая активность в пределах шести-десяти тысяч шагов может значительно снизить риск развития депрессии. Результаты мета-анализа 33 исследований, охвативших более 96 тысяч человек, были опубликованы...

Лекарство под ногами: 7 тысяч шагов в день снижают риск депрессии на треть

Новый метод выявляет болезнь Паркинсона по эмоциональным реакциям мозга

Фото из открытых источников Совместная исследовательская группа из Университета Канберры и Кувейтского колледжа науки и технологий достигла новаторского обнаружения болезни Паркинсона с почти идеальной точностью, просто анализируя реакции мозга на эмоциональные ситуации, такие как просмотр видеоклипов или изображений. Результаты...

Новый метод выявляет болезнь Паркинсона по эмоциональным реакциям мозга

Ученые разработали анализ крови для повышения эффективности лечения рака

Фото из открытых источников Ученые из Королевского королевского технологического университета и Института Доэрти (Австралия) разработали новый анализ крови, который может помочь выявить онкологических больных и сделать их лечение более безопасным и эффективным. Первый в своем роде тест позволяет быстро...

Ученые разработали анализ крови для повышения эффективности лечения рака

Инъекционные микропузырьки могут безопасно экстренно доставлять кислород

Фото из открытых источников В течение многих лет исследователи и врачи пытались найти способ быстрой доставки кислорода пациентам, когда традиционные способы оксигенации затруднены или неэффективны в критические моменты остановки сердца или дыхания. ...

Инъекционные микропузырьки могут безопасно экстренно доставлять кислород

Названы естественные способы контроля уровня сахара в крови

Фото из открытых источников Контроль уровня сахара в крови необходим для людей с диабетом или для тех, кто подвержен риску его развития. Хронический высокий уровень сахара в крови, также известный как гипергликемия, может привести к серьезным проблемам со здоровьем, таким как болезни сердца, повреждение нервов...

Названы естественные способы контроля уровня сахара в крови

Ученые выявили связь опухолевых и иммунных клеток при краниофарингиомах

Фото из открытых источников Краниофарингиомы — это опухоли головного мозга, которые негативно влияют на гормональную функцию близлежащего гипофиза. Расположение опухоли часто препятствует необходимому хирургическому вмешательству. Альтернативная фармакологическая терапия требует глубокого понимания молекулярных...

Ученые выявили связь опухолевых и иммунных клеток при краниофарингиомах
Продолжая просматривать сайт glavdealer.ru вы принимаете политику конфидициальности.
ОК